新闻资讯

NEWS

公司新闻 展会信息
智齿到底要不要拔除?丹博士带你揭示背后原因
2025-07-25

人类的智齿能离谱到什么程度?

牙医看了都沉默

lQDPJwA6DmTYVzXNA4bNBGewS2NMM0az0X4IXvBLl3yZAA_1127_902.jpg

注:图源小红书小红薯67C0AE65

今天

我们就来扒一扒这个让人头大的问题

一、
  人类颌骨的变化——副产物:智齿   

阻生齿_画板 1.jpg

二、
  什么是智齿?   

阻生齿-02.jpg
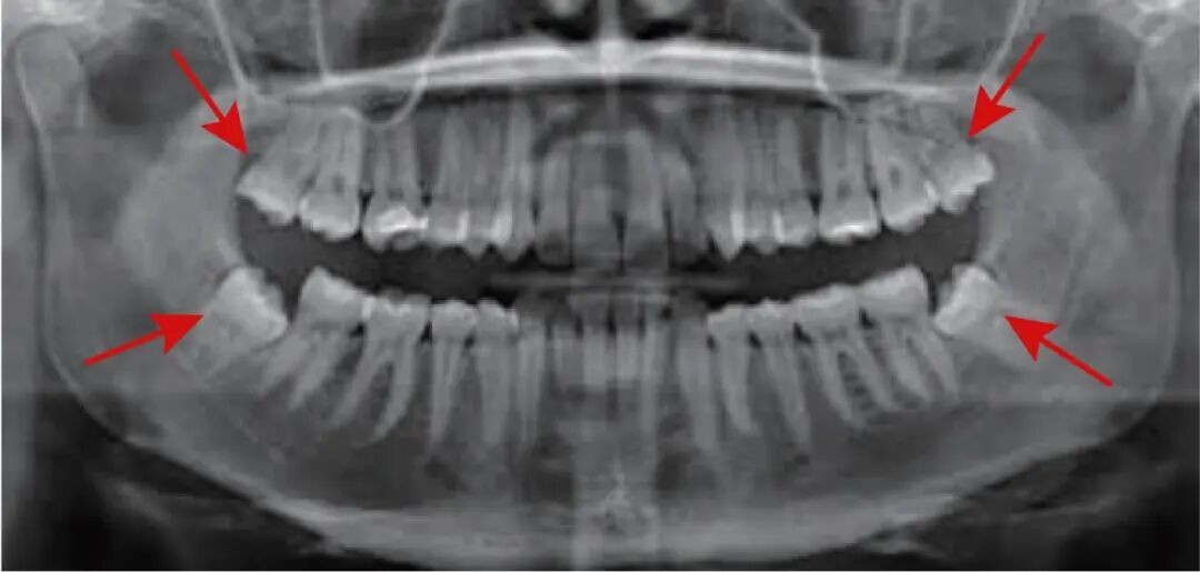
  • 智齿又称“第三磨牙”,人类口腔中牙槽骨最后面的牙齿,从正中门牙往后数第8颗

  • 数量为0-4颗。 

  • 萌出时间通常16-25岁,因萌出空间不足,不能完全萌出,通常又称阻生牙。

三、
  下颌阻生齿的常见分类   

1)

下颌近中倾斜 

高位阻生

在下颌第二磨牙中冠部外形高点以上部分为高位。

2)

下颌近中倾斜 

中位阻生

阻生齿-04.jpg

冠部外形高点线与髓室底之间部位为中位。

3)

下颌近中倾斜 

低位阻生

阻生齿-05.jpg

髓室底到根尖部分为低位(上颌智齿则相反)。

四、
  智齿拔除的适应症   
阻生齿-06.jpg

1)阻生齿:由于生长位置不当而无法正常萌出。

阻生齿-07.jpg

2)冠周炎:未完全萌出智齿,牙冠&牙龈瓣之间藏污纳垢,引起软组织炎症。牙龈肿痛、张口疼痛、发热

阻生齿-08.jpg

3)龋坏:智齿不易清洁,容易龋坏

阻生齿-09.jpg

4)侵犯邻牙:邻牙不易清洁,容易龋坏/压迫牙根,引起牙根吸收

阻生齿-10.jpg

5)食物嵌塞

阻生齿-11.jpg

6)没有对咬牙

阻生齿-12.jpg

7)正畸需要;颌骨疾病的病灶牙

五、
  微创拔牙VS传统拔牙   

20.png

六、
  丹博士微创拔牙车针   

阻生齿-13.jpg

临床应用场景:

下颌阻生齿的拔除

根管治疗后的残根残冠

前牙区种植盾构术等

优点:

切削效率高、节约手术时间

坚固耐用,安全使用次数高
切割方向/范围精准,去骨少
车针数量少,消毒/操作简单


还在为阻生齿处理发愁?

别担心!关注我们的公众号

获取更多专业资讯和实用技巧

让你的每一次手术都更加从容!

欢迎在评论区分享你的经验哦~



返回列表