新闻资讯

NEWS

公司新闻 展会信息
医生必看的死髓牙拔除新方案,一招解决患者痛点!
2025-07-23

死髓牙是什么?

简单来说,就是牙齿内部的神经和血管组织已经坏死,导致牙齿失去活力。这种情况通常发生在意外撞击、深度龋齿或外伤之后。当死髓牙无法通过常规治疗挽救时,拔牙就成了唯一的选择。



为什么用丹博士拔牙车针?
死髓牙拔除案例-07.jpg
  • 能有效解决死髓牙因脆性大带来的拔除困难 

  • 减小手术对软硬组织损伤


01
图片
  术前检查  


图片
影像学检查与诊断

全景片显示:

26、46缺失;36根管内高密度,根尖椭圆形透射影


诊断:

  • 36根尖囊肿

  • 根管治疗后

死髓牙拔除案例_画板 1.jpg


图片
阻力分析

  • 根管治疗后的牙体变脆

  • 近远中牙根膨大: 牙根阻力 

  • 种植需要尽可能微创,保留剩余非炎症区域牙槽骨

死髓牙拔除案例-02.jpg


02
图片
  手术过程  


死髓牙拔除案例-03.jpg

1、用破冠车针破冠槽 ,取下烤瓷冠。

死髓牙拔除案例-04.jpg死髓牙拔除案例-05.jpg

2、用丹博士C33L.317.012拔牙车针将冠根分为近中、远中两部分,牙梃将近远中根拔除。

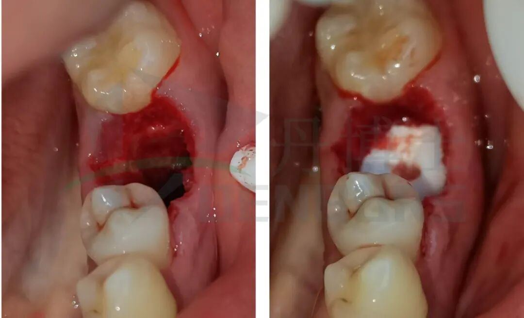
死髓牙拔除案例-06.jpg

3、牙槽骨复位后,填塞胶原海绵,创口对位缝合。


创新驱动未来,专业成就信赖

丹博士高效拔牙车针不仅让手术更轻松

也让患者体验更美好


关注我们

探索更多创新技术与临床应用!


图片


返回列表